
Dental Bridges
What Are Dental Bridges?
Bridges are a type of dental restoration that replaces a single missing tooth or a row of missing teeth. One or more artificial teeth made of porcelain or ceramic are used to fill the gap in your smile, and are supported by dental crowns on either side. The completed bridge will match your natural teeth, giving you the dazzling smile you deserve.
Dr. Mormino provides traditional bridges, also known as fixed bridges, and implant-supported bridges. Your dentist will discuss these options during a consultation to determine which dentistry option best suits your unique needs.
"No amount of money will express my gratitude for his services." Staten Island Patients Trust Dr. Mormino With Their Smiles
I’ve been a patient with Dr. Mormino for the past three years and I have found him to be an excellent dentist. He strives for perfection is thorough in all his endeavors. He is compassionate, kind and patient. He is truly a gifted Doctor. I would recommend him to anyone that wants a kind and understanding doctor. There is no amount of money that will express my gratitude for his service. His staff is remarkable and helpful with every step possible.
View on GoogleI have always had very anxious feelings about any dental procedure, until I became a patient of Dr. Mormino. I have been his patient for many years and have found him to treat all his patients with respect, care, kindness and a sincere desire to provide the best possible treatment. The staff is equally pleasant and welcoming. I consider myself very fortunate to have found such a talented dentist who I highly recommend!
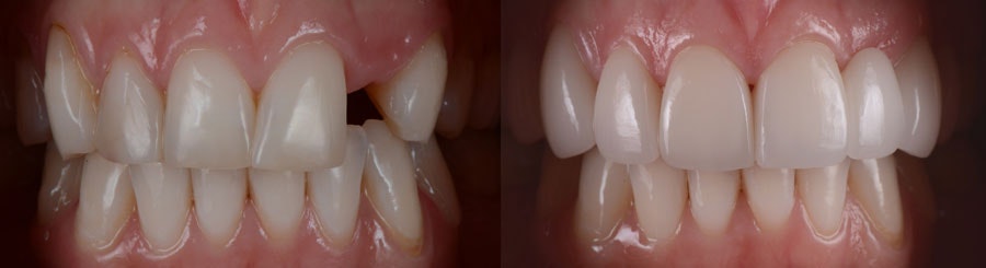
View on GoogleBefore and After Dental Bridge Treatment

You Deserve a Stunning Smile — And Dr. Mormino Will Create Incredible Results!
Qualifications
Dr. Mormino has extensive experience and qualifications, enhancing his understanding of restorative and general dentistry.
He is affiliated with the International Congress of Oral Implantologists, the American Academy of Cosmetic Dentistry, the American Dental Association, and the Academy of General Dentistry.
Technology
Our office also features an in-house lab — and we're the only dental practice in Staten Island to have one!
This allows us to complete procedures in days instead of weeks. Our lab boasts the advantage of computer-aided shade matching, meaning we can create a dental bridge that fits in seamlessly with your natural teeth.
If you're ready to let an expert restore your smile, we know just the dentist. Dr. Mormino can help you grin proudly with a new bridge. Contact our Staten Island, NY, dental office or call us at:
(718) 876-9100
Implant-Supported Versus Traditional Bridges
Implant-Supported Bridges
A dental implant is a titanium post surgically secured to your jawbone. Once your jaw has healed, this post functions as an artificial tooth root and holds a restoration in place.
An implant-supported bridge consists of one or more artificial teeth (called pontics) sandwiched between two dental crowns. The crowns are each supported by a dental implant. This creates a secure bridge that looks and functions just like your natural teeth. Additionally, since they act as artificial tooth roots the implants provide crucial stimulation to your jawbone that can help avoid bone atrophy and its associated oral health concerns.
Traditional Bridges
Also called a fixed bridge, a traditional bridge is comprised of one or more porcelain pontics supported by crowned natural teeth at either end of the gap. These crowned teeth are called abutment teeth.
Like an implant-supported bridge, a traditional bridge looks natural and restores your ability to chew, speak, and smile with ease. Unlike an implant-supported bridge, it requires healthy natural teeth to be significantly reshaped for crowns, and doesn't offer the jawbone stimulation of dental implants. A traditional bridge is the cheaper and faster treatment option, since it does not require the surgical placement and healing period of implants.
Have a Gap in Your Smile But Don't Know What to Do? Our Dentist Can Guide You Through the Options
Dr. Mormino knows that each patient is different. He offers individualized treatment at our Staten Island office. There, our dentist and team will happily answer all your questions and thoroughly go through the possibilities, like:
"A doctor who cares." Let Dr. Mormino Give You the Quality Dental Treatment You Deserve
I will forever tell the story of how Dr. Mormino and his staff put my fears of dentistry to rest. I went into Dr. Mormino's office where I was treated courteously and respectfully by both him and his staff. My smile has never been so beautiful and I remain a patient to this day. I highly recommend Dr. Mormino if you are looking for painless dentistry and a doctor who cares about what he is doing for his patients.
View on GoogleBefore going to Dr. Mormino, I feared going to the dentist. Since meeting Dr. Mormino and his staff, I no longer have fear going to the dentist. I appreciate the way he and his staff treat their patients. They always make sure you’re comfortable and not in pain. They take anxiety and fear about having a procedure done seriously and always treat their patients with the utmost respect. Thank you!
View on GoogleHow Can Missing Teeth Affect You?
Reasons Why You Might Need a Dental Bridge
Health
Health impacts include both your oral wellness and overall wellness.
Specifically, a missing tooth can affect your health in ways like:
- Tooth decay, tooth loss, and bone loss or recession in your jaw
- Gum recession, sensitivity, and pain
- Higher chance of infections
- Migraines or headaches, which result from altered bite patterns
Cosmetic
A missing tooth or teeth can have a dramatic effect on your appearance — one that extends beyond simple gaps in your smile.
Those cosmetic changes include:
- Bone recession, causing your features to sag
- Misalignment in your remaining teeth as they move to fill the space
- Decreased self-esteem
Functionality
Living with a missing tooth or teeth can make it hard to do things others take for granted.
If you have a gap in your smile, you may have troubles like:
- Difficulty speaking
- Problems chewing
- Regular pain or pressure from an offset bite
The Life-Changing Benefits Of Dental Bridges
Functionality and Freedom
If you're missing a tooth or multiple teeth, it can be harder to participate in the things you used to love. From smiling in a conversation to eating your favorite foods, you can return to the things that make you happy with the help of a dental bridge and natural-looking pontics.
More Affordable Pricing
Dental bridges are versatile and relatively affordable compared to other tooth restoration options. If you are looking for a more budget-friendly choice made of quality materials, then ask our dentist about dental bridges. We also offer two types of financing.
Lasting Peace of Mind
With dedicated care, your bridge can last up to 15 years, giving you the peace of mind you've likely been searching for lately. We also provide emergency dentistry services, so that if you ever need anything, you can visit your trusted Staten Island team.
A Dental Bridge Doesn't Need to Be Scary We Offer Staten Island Compassionate Care
Scared of visiting the dentist?
You don't have to be.
We provide compassionate care in a warm, comfortable environment. But when that's not enough, Dr. Mormino offers both nitrous oxide and oral conscious sedation. Sedation dentistry can help anxious patients relax during procedures.
With sedation, even patients nervous about dental work can fill the gaps in their smile. If you're ready for a full smile again, contact our Staten Island, NY, office or call us at:

Treatment Timeline
Dental patients in the Staten Island area trust Dr. Mormino to expertly place their bridges and restore their stunning smiles.
"Dr. Mormino made me feel so comfortable from my first visit." Hear Why Staten Island Patients Trust Our Dentist
Dr.Mormino is the best! He does not make you feel rushed at all. He takes his time with you and explains everything to you in the best way possible. The staff is very warm and welcoming, they truly are so kind!
I highly recommend having Dr. Mormino as your dentist because you will always be in great hands.
I've always been extremely terrified of the dentist, until I met Dr. Mormino. He is very patient, kind, caring and understanding. He made me feel so comfortable from my first visit. Stephanie, his receptionist is absolutely amazing, since I called to make an appointment, scheduling with her she put my mind at ease. The office is clean and sanitized. Everyone is extremely nice and professional. I highly recommend Dr. Mormino and his staff.
View on GoogleI Have Gum Disease. How Does It Relate to My Bridge?

Gum disease is a common problem that many patients may face, especially as they get older. It can lead to pockets, or loosening gums, as well as tooth loss.
Implant-supported dental bridges can mitigate this problem by reducing the chances of gum recession from missing teeth. By replacing your tooth roots, implants help preserve both your jawbone and your gum tissue.
Though experiencing gum disease can be stressful, our caring team is here to help. Dr. Mormino and the team at Staten Island Smiles want to make sure that you truly feel at ease again, with transparent explanations, welcoming demeanors, and high-quality materials.
Do You Offer Financing?
Yes! Your exciting cosmetic dental work is closer than ever.
We accept CareCredit® and LendingClub®, so that the costs don't get in the way of your happy, healthy new smile.

